お問い合わせ先contact

日本赤十字社 徳島赤十字病院

〒773-8502
徳島県小松島市小松島町字井利ノ口103番
電話番号:0885-32-2555(代)
FAX番号:0885-32-6350

当院への行き方access

当院への行き方を印刷
日本赤十字社 徳島赤十字病院への地図

駐車場のご利用について

駐車場利用は、原則24時間以内に限らせていただきます。入院患者さまご自身の駐車はご遠慮ください。やむを得ない事情により駐車される場合は、1日につき1,000円の駐車料金をいただきます。またご家族であっても、入退院時の送迎や手術日当日、当院からの要請でお越しいただいた場合を除き、有料となっています。ご協力をお願いします。

料金・支払い

  • 駐車後30分を過ぎると1時間につき100円
  • 10時間以上24時間以内 1日につき1,000円
  • 支払いは外来棟1階西側玄関横にある事前精算機をご利用ください
    (料金支払い後、20分までは無料)
  • 駐車場出口での支払いは硬貨および1,000円札のみ使用できます

駐車料金が無料になる場合

  • 駐車30分以内
  • 外来受診の方*1
  • 入退院時の送迎(各1回)*2
  • 当院からの要請でお越しいただいた場合*2

*1:外来棟2階「外来総合案内」「A・Bブロック受付」で駐車券をご提示ください
*2:病棟スタッフに駐車券をご提示ください

日本赤十字社 徳島赤十字病院の駐車場への地図

無人管理となっていますので、ご質問等ありましたら外来棟2階「外来総合案内」までお声かけください。

公共交通機関で来院される場合

JRでの来院

南小松島駅より徒歩約10分
JR四国 外部サイト 別ウィンドウで開く

バスでの来院

「日赤病院前」または「日赤病院玄関前」下車すぐ
とくしまバスNavi 外部サイト 別ウィンドウで開く

血管内治療科

概要summary

主に大動脈疾患に対するステントグラフト手術を行う科として、2016年4月から血管内治療科が設置されました。循環器内科、心臓血管外科と協力し、大動脈瘤や大動脈解離等の大動脈疾患、閉塞性動脈硬化症、下肢静脈瘤等の末梢血管疾患を中心に、弁膜症や虚血性心疾患等の診療も行っています。

破裂するまで無症状の大動脈瘤
発症すると生死に直結する大動脈解離
大きな手術をに乗り切る, それがステントグラフト内挿術です

血管内治療科

疾患と治療法disease and treatment

大動脈瘤とは?

大動脈瘤は大動脈壁が限局的に弱くなり、 引き伸ばされて異常な拡張を来した状態です。大動脈の拡張は動脈硬化の結果として起こります。動脈硬化の危険因子は、たばこ・糖尿病・高血圧・高脂血症・肥満等と言われており、これらの基礎疾患がある方は大動脈瘤になりやすい!と言えます。

症状

残念ながらほとんどの場合が無症状です。無症状のまま大きくなりやがて破裂します。まるで時限爆弾のようです。

治療方法

大動脈瘤は薬では治らないため、治療方法は手術しかありません。

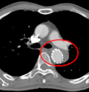
ステントグラフト内挿術 (胸部:TEVAR, 腹部:EVAR)
  • 手術概要
    • 金属のステントに人工血管を巻き付けたステントグラフトを小さくし、少し切開した足の付け根の太ももの動脈から大動脈内に挿入、瘤の部分に置く
  • 術前/術後
術前
術後
  • 腹部大動脈瘤に対する比較(創部)
    • 両側鼠径部に約3センチメートル
  • 経口摂取
    • 術後1時間後から水分、翌日から普通食
  • 歩行
    • 術翌日
  • 術後在院日数
    • 約7日
人工血管置換術
  • 手術概要
    • 胸やお腹を大きく切開し大動脈の血流を止めて瘤を切除し、正常な血管に人工血管を縫い付ける
  • 術前/術後
術前
術後
  • 腹部大動脈瘤に対する比較(創部)
    • 腹部正中に約20センチメートル
  • 経口摂取
    • 術後1時間後から水分、翌日から普通食
  • 歩行
    • 術後2~3日目
  • 術後在院日数
    • 約13日

大動脈解離とは?

大動脈解離は高血圧等により大動脈の内膜に亀裂 ( エントリー ) が生じ、中膜レベルで竹を割ったように縦に大動脈が裂けていく病気です。時に、外膜側の破綻による出血や偽腔拡大による真腔の狭窄・閉塞による臓器の虚血・梗塞を来し、重篤な病態を引き起こします。

症状

発症時の典型的な症状は、突然に出現する激烈な胸痛・背部痛です。それ以外にも大動脈の分枝に解離病変が進展するために実に多彩な症状を示します。

大動脈解離発症時の症状

治療方法

大動脈解離
大動脈解離に対するステントグラフト内挿術

エントリー部分をステントグラフトで閉鎖することで偽腔が血栓閉鎖し、大動脈がremodeling (元の形に戻る) します。

TEVAR前 偽腔開存
TEVAR前 偽腔開存
TEVAR 2年後 大動脈がremodeling

穿刺法

さらに低侵襲な(患者の身体的負担が少ない)治療のため、ステントグラフトを切らずに挿入する穿刺法も行っています。手術から1ヶ月後になると、ほとんど創が分かりません。

実績achievement

腹部大動脈瘤に対する手術症例数

腹部大動脈瘤に対する手術症例数

胸部大動脈ステントグラフト内挿術(TEVAR)施行症例数

胸部大動脈ステントグラフト内挿術(TEVAR)施行症例数