お問い合わせ先contact

日本赤十字社 徳島赤十字病院

〒773-8502
徳島県小松島市小松島町字井利ノ口103番
電話番号:0885-32-2555(代)
FAX番号:0885-32-6350

当院への行き方access

当院への行き方を印刷
日本赤十字社 徳島赤十字病院への地図

駐車場のご利用について

駐車場利用は、原則24時間以内に限らせていただきます。入院患者さまご自身の駐車はご遠慮ください。やむを得ない事情により駐車される場合は、1日につき1,000円の駐車料金をいただきます。またご家族であっても、入退院時の送迎や手術日当日、当院からの要請でお越しいただいた場合を除き、有料となっています。ご協力をお願いします。

料金・支払い

  • 駐車後30分を過ぎると1時間につき100円
  • 10時間以上24時間以内 1日につき1,000円
  • 支払いは外来棟1階西側玄関横にある事前精算機をご利用ください
    (料金支払い後、20分までは無料)
  • 駐車場出口での支払いは硬貨および1,000円札のみ使用できます

駐車料金が無料になる場合

  • 駐車30分以内
  • 外来受診の方*1
  • 入退院時の送迎(各1回)*2
  • 当院からの要請でお越しいただいた場合*2

*1:外来棟2階「外来総合案内」「A・Bブロック受付」で駐車券をご提示ください
*2:病棟スタッフに駐車券をご提示ください

日本赤十字社 徳島赤十字病院の駐車場への地図

無人管理となっていますので、ご質問等ありましたら外来棟2階「外来総合案内」までお声かけください。

公共交通機関で来院される場合

JRでの来院

南小松島駅より徒歩約10分
JR四国 外部サイト 別ウィンドウで開く

バスでの来院

「日赤病院前」または「日赤病院玄関前」下車すぐ
とくしまバスNavi 外部サイト 別ウィンドウで開く

からだにやさしい治療センター

ハイブリッドマーキング法

担当

徳島赤十字病院

呼吸器外科 石倉 久嗣(月・木曜日外来)

術前マーキング法

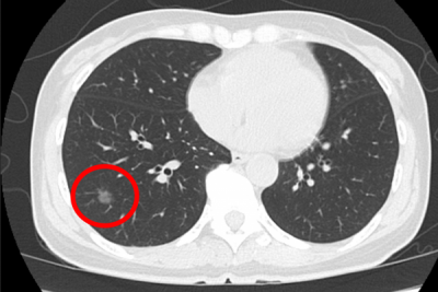
胸腔鏡下手術の創部は2cm程度であり、以前のように創からの腫瘤の触知は困難です。そこで、場所の特定(腫瘍がどこにあるか)を確認するために、術前マーキングという方法がとられています。方法としては、(1)経皮的にフック型の“針”を留置(2) “色素”注入(3)気管支鏡下に“造影剤”注入(4) “蛍光”気管支鏡などです。デメリットとして、機器が特殊で高額であるため施設が限定される、気胸や塞栓の合併症、術前の局所麻酔下の処置であり手術前の患者さまの負担になること等が挙げられます。特に、肺や気管支への穿刺は、空気塞栓等致死的合併症の可能性があり、すでに裁判例もあります。

術中CTマーキング法

そこで当科では、ハイブリッド手術室を利用した術中CTマーキングを行っています(佐賀の病院に引き続き全国2施設目に導入)。手術中に、CT-like imageを作成し場所を特定します。そして悪性であれば、そのままがんの手術を行います。特徴として、全身麻酔下に手術室で完遂するため、手術までに気管支鏡やCTガイド下肺生検などの苦痛がないこと、局在の指摘精度が高いこと、致死的な肺空気塞栓症を回避できること等が挙げられ、患者さんにも、我々医療者にもメリットがあります。国内では、ハイブリッド手術室のない施設が大半であり、このマーキングが利用できる施設は限られています。

当科では、2014年9月より、ハイブリッドマーキングを施行しており、患者さまの術前の負担なく、正確な診断ができ、悪性であればそのままがんの手術を施行しています。1回の手術で診断も治療もできる患者さまに優しい方法です。

胸部CTでの肺小陰影画像
ハイブリッド手術室での手術風景
手術室でのCT撮影
術中確認するCT画像